УЗИ: Внематочная беременность
Внематочная (эктопическая) беременность является самой частой причиной смертности среди женщин...
Медицина / Диагностика / Диагностика (статья)
УЗИПосле родов у женщины могут возникать разные осложнения, наиболее распространенными из которых являются: повышение температуры тела, обусловленное инфекцией генитального тракта, а также пневмония, ателектаз, пиелонефрит, застой в молочных железах, бактериальный мастит, тромбофлебит, раневые инфекции и др.
После родов со стороны органов малого таза чаще всего развиваются следующие осложнения:
После вагинальных родов или кесарева сечение незначительное количество воздуха в полости матки является нормой.
Эндометрит чаще всего возникает после кесарева сечения, а также может развиваться из-за затяжных родов, преждевременного разрыва плодных оболочек, остатков плодного яйца, многократного осмотра шейки матки и внутреннего мониторинга плода.
Характерные симптомы эндометрита – боль в области таза и повышение температуры тела.
УЗИ при эндометрите не имеет характерной ультразвуковой картины. Ультразвуковое исследование может выявлять утолщение эндометрия, воздух и жидкость в маточном канале, однако – это неспецифические признаки в послеродовом периоде (фото 1).

Фото 1. Эндометрит. Ультразвуковое исследование в сагиттальной и поперечной плоскостях. Пациентка предъявляет жалобы на боли и повышение температуры тела, которые продолжаются в течение 10 дней после кесарева сечения. Визуализируется неоднородная жидкость в полости матки и неравномерный толстый эндометрий (такая картина не является специфичной для эндометрита)
Послеродовые воспаления разной тяжести возле матки обусловлены попаданием инфекции в околоматочные вены и лимфатические сосуды, а также могут возникать в результате хирургической или родовой травмы. Тяжесть воспаления зависит от вирулентности и патогенности агента, а также от других факторов (например, гематома, венозный застой и т.д.).
Наиболее типичные симптомы параметрита – послеродовые боли и повышение температуры тела. С целью дифференцирования незначительных изменений околоматочного целлюлита с очаговыми скоплениями жидкости (в том числе гематомы или абсцесса) или тромбофлебита тазовых либо овариальных вен назначают ультразвуковое исследование, магнитно-резонансную томографию или компьютерную томографию.
На УЗИ картина послеродового параметрита характеризуется наличием неспецифических изображений увеличенной матки, может выявляться незначительная выпуклость околоматочных структур и небольшие объемы жидкости, при этом какие-либо крупные очаговые скопления отсутствуют. На компьютерной томографии наблюдается аналогичная картина – увеличенная матки и выбухание ткани в области придатков с нечетким тканевым контуром. МРТ демонстрирует воспаление в виде усиленного T2-сигнала.
Нужно отметить, что сочетание параметрита с тазовым венозным застоем может привести к тромбофлебиту овариальных и других тазовых вен. В свою очередь, тромбофлебит часто сопутствует развитию тяжелого послеродового тазового целлюлита.
Параметрит и тромбофлебит овариальных вен чаще развиваются после кесарева сечения, чем после вагинальных родов (особенно после трудных, затяжных вагинальных родов, чем после нормальных родов без осложнений).
При тромбофлебите овариальных вен больные предъявляют жалобы на боль внизу живота, повышение температуры тела, при пальпации определяется образование (такие образования проявляются, как правило, через 2-4 дня после родов).
Вены правого и левого яичника в патологический процесс вовлекаются с разной частотой. Примерно в 90% случаев тромбофлебит овариальных вен поражает вены правого яичника. Исследования показали отличия в показателях кровотока и стаза для вен левого и правого яичников как во время беременности, так и после родов.
Наиболее оптимальным методом визуализации при диагностике тромбофлебита овариальных вен являются КТ или МРТ с контрастированием – эти методы диагностики обладают гораздо большей чувствительностью, чем УЗИ. Постановка диагноза требует тщательного проведения исследований и анализа данных, полученных с помощью любых методов визуализации, которые проводят после родов при наличии болей и повышенной температуры тела.
Ультразвуковое исследование позволяет выявить тромбофлебит овариальных вен. При этом врач должен оценивать клиническую картину (боли и температура тела). Нужно оценить предполагаемый ход овариальных вен, расположенных от областей придатков, кпереди от поясничных мышц, к участку слияния правой овариальной вены и нижней полой вены или левой вены с левой почечной веной. На УЗИ острый тромб представляет собой, как правило, гипоэхогенную структуру, которая растягивает вену (фото 2); со временем тромб становится более гетерогенным и эхогенным. Отметим, что диагностика может быть затруднена из-за увеличения послеродовой матки, ощущения дискомфорта у пациентки, а также возможной кишечной непроходимостью.
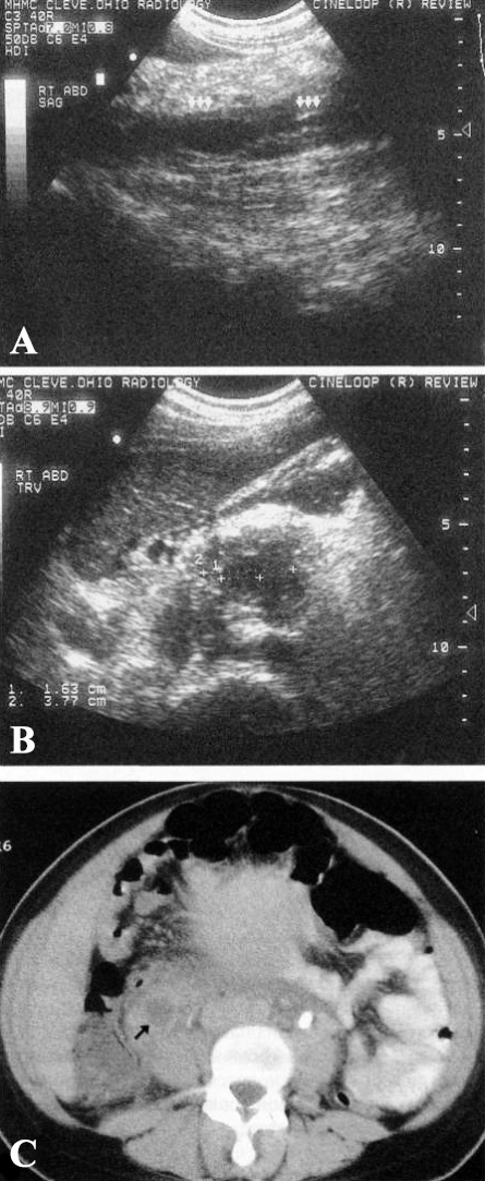
УЗИ: Тромбофлебит овариальной вены
Фото 2. Тромбофлебит овариальной вены. А – УЗИ в сагиттальной плоскости. B – УЗИ в поперечной плоскости. На снимках УЗИ стрелками обозначена растянутая вена правого яичника. С – снимок КТ, на котором подтверждается тромбоз правой овариальной вены (обозначен стрелкой)
В случае развития послеродового абсцесса возможно применение чрескожного дренажа. Процедура выполняется под контролем УЗИ или КТ; трансседалищный или передний доступ позволяет безопасно ввести катетер. Также можно использовать трансвагинальный или трансректальный доступ.
Послеродовая кровопотеря (ПРК; послеродовое кровотечение) бывает первичным (обильное вагинальное кровотечение, возникающее в течение 24 часов после родов) и вторичное (в период от 24 часов до 6 недель после родов). Наиболее частыми причинами являются:
Для оценки крупных внутренних гематом и выявления участков активного кровотечения лучше всего использовать компьютерную томографию. УЗИ рекомендуется применять с целью выявления остатков плодного яйца, кроме этого, ультразвук лучше, чем КТ, обнаруживает гематомы «пузырного лоскута».
Кесарево сечение подразумевает рассечение тканей с целью доступа в экстраперитонеальное пространство между передней частью нижнего сегмента матки и задней частью мочевого пузыря, таким образом обеспечивая доступ для проведения нижнего поперечного разреза стенки матки. Именно в этой области часто образуются гематомы разного размера – так называемые «гематомы пузырного лоскута», – которые на УЗИ и КТ визуализируются как гетерогенные скопления (фото 3). Нужно отметить, что в таких случаях гематома может распространяться под серозным покровом вокруг матки, вдоль широкой связки и проникать в забрюшинное пространство.
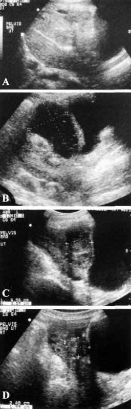
УЗИ: Гематома пузырного лоскута
Фото 3. Гематома пузырного лоскута. А – УЗИ в сагиттальной плоскости: определяется гетерогенное скопление между нижним сегментом матки и мочевым пузырем на 3-й день после кесарева сечения. В – УЗИ этой же пациентки через 5 недель: отмечается разрешение гематомы. С – через 3 месяца. D – через 6 месяцев
Послеродовые гематомы или геморрагии также могут быть локализованы в других местах:
Вероятность развития вторичного послеродового кровотечения составляет примерно 1%. Основными факторами риска вторичной послеродовой кровопотери являются первичное кровотечение и ручное отделение плаценты.
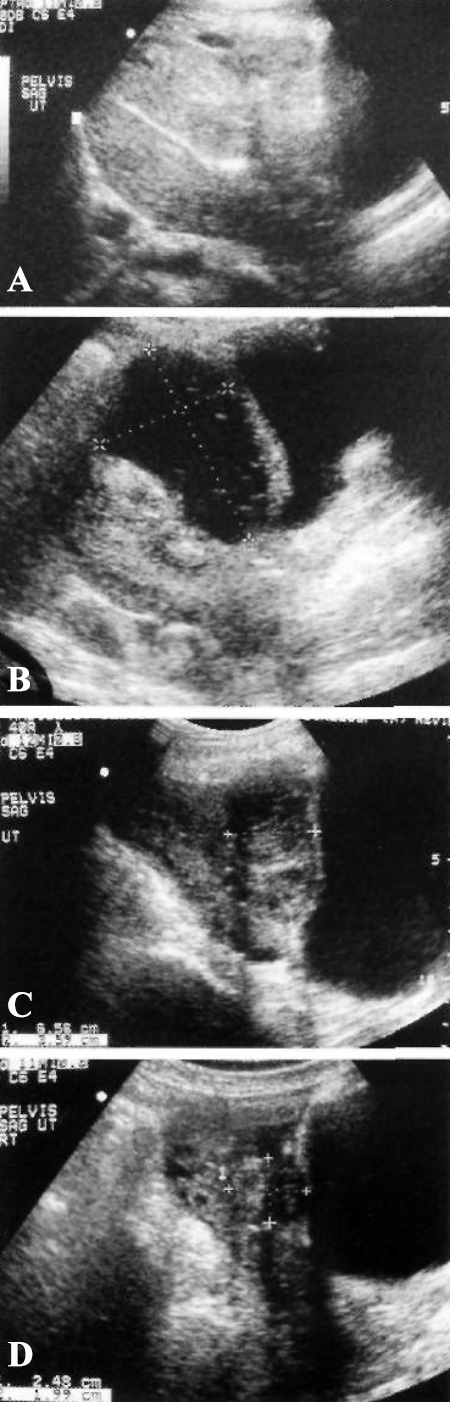
Остатки плодного яйца (остатки плацентарной ткани) на УЗИ представляют собой эхогенное образование в полости матки. Гетерогенное образование или скопление в центральной полости состоит из кровяных сгустков и/или остатков плаценты с некротизированными волокнами (фото 4).

Фото 4. Остатки плодного яйца. А – УЗИ в сагиттальной проекции; В – УЗИ в поперечной проекции. На изображении определяется гиперэхогенное образование в полости матки (между курсорами), характерное для остатков плодного яйца
С помощью цветной допплерографии дифференцируют васкуляризированные ткани с неваскуляризированными, что дает возможность идентифицировать сохранившуюся васкуляризированную плацентарную ткань (неваскуляризированная плацента не имеет кровотока). Остатки плодного яйца маловероятны, если визуализируется нормальное изображение эндометриальной полоски или точечные эхогенные очаги, не связанные с отдельным образованием.
В условиях обильного послеродового кровотечения важно диагностировать (либо исключить) остатки плодного яйца, так как некоторые обильные кровотечения, которые не связаны с остатками плодного яйца, можно остановить консервативными методами лечения, тогда как для эвакуации остатков плодного яйца показано выскабливание. Нужно отметить, что выскабливание может вызвать осложнения (например, образование синехий [спаек], перфорация матки и др), поэтому его не следует проводить без подозрения на остатки плодного яйца.
Выскабливания и другие акушерские травмы могут вызвать разрыв сосудов, псевдоаневризмы маточной артерии, артериовенозные фистулы, развития разного рода артериовенозных аномалий и другие нарушения. В случае обильного кровотечения при обследовании послеродовой матки или после выскабливания нужно проводить цветовую допплерографию. В случае подозрения патологии сосудов для более доскональной диагностики и возможной терапии эмболизацией показана ангиография.
После родов матка, как правило, уменьшается до размеров, которые были до беременности, примерно за 5-6 недель. Специалисты полагают, что у матерей, кормящих грудью, этот процесс происходит быстрее, что обусловлено повышенной секрецией окситоцина. Частичная инволюция у большинства рожениц происходит очень стремительно (в первые часы после родов). Высокий тонус послеродовой матки в большинстве случаев отмечается после первой беременности, реже – при повторных родах.
Кроме вышеперечисленных осложнений после родов, также могут возникать другие патологии:
Внематочная (эктопическая) беременность является самой частой причиной смертности среди женщин...
В I триместре беременности для УЗИ-диагностики тазовых и плодных структур показаны...
Срок беременности длится в среднем 40 недель, но если роды происходят через 36 или 42 недели,...
Выделения крови из влагалища при беременности – тревожный симптом, в случае появления...
В период беременности у женщины могут возникать определенные заболевания, возникновение...
анализы, БАД, биологическая медицина, витамины, гастроэнтерология, гигиена, гинекология, гомеопатия, дерматология, диагностика, диетология, заболевания, иммунология, инфекционные заболевания, инфекция, исследования, кардиология, кожа, косметика, красота, лекарственные растения, лечение, лицо, неврология, обследование, оздоровление, онкология, ортопедия, педиатрия, питание, пищеварительная система, поведение, похудение, препараты, продукты, профилактика, процедура, психология, пульмонология, рак, реабилитация, сердечно-сосудистая система, ССС, тело, терапия, травматология, уход, фитотерапия, хирургия, эндокринология
Показать все теги

Комменатрии к новости